г. Хабаровск

Виктория обратилась к нам за помощью, со словами «я устала от этого всего, только вы мне сможете помочь».
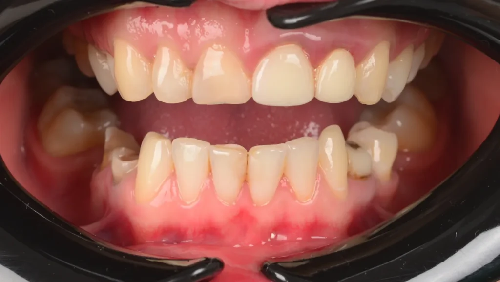
Жалобы были на кровоточивость десен, сильное разрушение некоторых зубов. Пациентке не нравились ее передние коронки и свои зубы. На промежуточном этапе мы смогли полностью убрать кровоточивость десен, восстановить все разрушенные зубы с помощью безметалловых коронок (а также поменяли высоту прикуса), сделали пластику десны на верхних передних зубах - за счет этого визуально зубы стали длиннее, закрыли передние зубы коронками.
Далее планируем восстановить отсутствующие зубы.